ACCUEIL
NOTRE APPROCHE METIER
L’EQUIPE
LES SOINS
CONTACT
LE CABINET EN IMAGES
LES CAS CLINIQUES
Couronne tout céramique
Onlay céramique
Bridge et couronne céramométal
Composite
Implant
Facettes
Stratifications
EN SAVOIR PLUS
Chirurgie
Implant
Parodontie
Prévention
Prothèse amovible
Prothèse fixe
Prothèse fixe
Soins conservateurs
Soins dentaires des enfants et des adultes
Stérilisation
INFO URGENCE :
VOIR DENTISTE DE GARDE
PRENDRE RENDEZ-VOUS avec le DR AMEZIANE-MIOTTO
05 61 35 96 29
ACCUEIL
NOTRE APPROCHE METIER
L’EQUIPE
LES SOINS
CONTACT
LE CABINET EN IMAGES
LES CAS CLINIQUES
Couronne tout céramique
Onlay céramique
Bridge et couronne céramométal
Composite
Implant
Facettes
Stratifications
EN SAVOIR PLUS
Chirurgie
Implant
Parodontie
Prévention
Prothèse amovible
Prothèse fixe
Soins conservateurs
Stérilisation
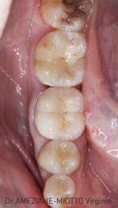
Onlay céramique
AVANT
Save
Save
APRES
Save
Save
Save
AVANT
Save
Save
Save
APRES
Save
Save
Save
Onlay en céramique sur la dent N°44 et couronne en céramique sur les dents N°45 et N°47.